超声科成立于1985年,现已发展成为设备齐全检查及治疗项目完整的科室。科室拥有一支年轻且充满活力的学术梯队。科室人员都经过三甲医院进修培训。在临床工作中积累了丰富的疑难复杂病例与检查经验,尤其对子宫畸形、妇科肿瘤、异位妊娠疾病中的复杂病例及IVF术前检查及术后随访检查经验丰富。全科人员始终坚持“以病人为中心”遵循“博爱,严谨,创新,奉献”的医院院训,以优良的服务意识及质量,为广大病友提供优质的治疗服务。
目前拥有五台国际先进的超声诊断仪,其中LOGIQ7, LOGIQs8,VolusonE8 等彩色多普勒超声诊断仪。并拥有完备网络系统。全部采用工作站及彩色胶片打印机输出图文报告。

开展的技术项目:超声检查可应用于心血管,颈部血管,四肢血管,腹部,腹腔,妇产,体表小器官及皮下软组织等多种脏器组织和结构,具体应用范围如下:
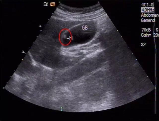
1、消化系统:肝胆胰脾的超声检查。
2、泌尿生殖系统:肾、输尿管、膀胱、前列腺、精囊、阴囊、子宫、附件疾病的超声诊断。
3、小器官:眼睛、甲状腺、乳腺、颈部、四肢、躯干、体表软组织疾病的超声检查。
4、胸腔、腹腔积液、肿块的超声诊断。
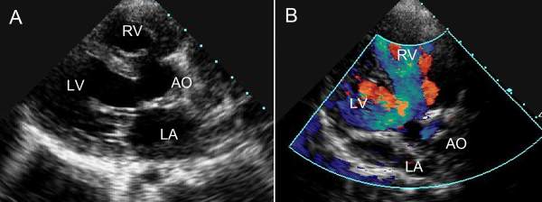
5、心脏:各种先天性心脏病及后天性心脏病超声诊断。
6、超声引导下的介入诊断及治疗(肝肾囊肿及脓肿穿刺,抽吸,药物灌注,胸腔,纵膈的穿刺活检)
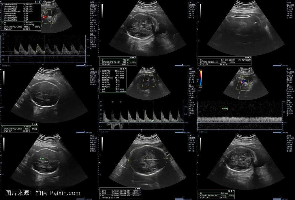
7、胎儿的初级筛查
妇产科特色技术:
1、中孕期胎儿三维畸形筛查(排除无脑儿、脑膨出、开放性脊柱裂、胸腹壁缺损、内脏外翻、单腔性、致命性软骨发育严重畸形)
2、腔内超声:经阴道超声在妇科疾病早期诊断及鉴别诊断中的应用:
经阴道超声是近几年来妇产科超声应用的一项突破性进展。其优越性在于无需充盈膀胱,不受肠腔气体干扰和腹壁声衰减的影响,可清晰显示盆腔脏器结构及血流变化。使盆腔肿块、宫腔内病变、早孕、卵泡监测等妇科疾病得到更准确的早期诊断。
彩色多普勒超声对心脏及血管病变的诊断:
彩色多普勒超声能够同时评价血管的二维结构和实时血流动力学变化。我院超声科已开展此项技术。
1、超声心动图能够显示心脏结构,观察血流状态,评估心脏功能及治疗效果,其临床应用价值已得到大家的公认。
2、随着生活条件的改善和老龄人口的增多,血管病变的发生率逐年上升。多普勒超声诊断血管疾病既可观察到血管形态,结构,病变的范围,又能实时和动态检测血流动力学情况;且检查具安全,无创,廉价等特点,超声已逐渐成为血管病变的******检查方法。
腔内超声:经阴道超声在妇科疾病早期诊断及鉴别诊断中的应用







专家介绍

| 陆丹斌 锡山区鹅湖人民医院功能诊断科副主任,主治医师,2011年毕业于徐州医学院,进入鹅湖人民医院诊断科工作十余年,具有丰富的超声和心电图检查诊断经验。擅长各类腹部占位、结石,甲状腺和乳腺良恶性结节,妇科子宫肌瘤、宫外孕、盆腔炎症,产科、儿科、心脏和血管等常规和疑难病例诊断;同时擅长心电图、动态心电图等的常规和疑难病例检查。多次获得院内外先进表彰,在核心期刊发表论文数篇。 |

| 俞凯理
专长:腹部、心脏、浅表及妇产科超声诊断,尤其擅长于妇产科疾病的超声诊断,以及疑难心律失常及起搏心电图的诊断 简介:原心电、超声科主任,副主任医师。毕业于扬州大学医学院。长期从事超声诊断工作,先后到多家三甲医院深造,具有丰富的工作经验。从医二十多年来,认真钻研心电图及B超技术,积累了丰富的临床经验,为众多疑难病例作出了明确诊断,以一流的诊断水平赢得了病人和医生们的尊敬和信任。 |